عن د. معتز عدي

 28 عاماً من الخبرة في تجميل الأسنان والعدسات التجميلية، صنع خلالها مئات الابتسامات الطبيعية في الرياض.

حصل على تدريب متقدم في Dental-XP (أميركا)، كما نال شهادات احترافية من كبرى الشركات العالمية:

  • Ivoclar – سويسرا
  • Vita – ألمانيا
  • Rhein83 – إيطاليا

اليوم يُعتبر د. معتز من أفضل أطباء تجميل الأسنان في الرياض بخبرة 28 عاماً تجمع بين المهارة العالمية
وفهم جمالي يناسب طبيعة الابتسامة العربية.

خدماتنا

تجميل الأسنان

 عدسات تجميلية طبيعية للأسنان في الرياض (فيلدسباثيك – إيماكس).

تركيبات تجميلية

 تركيبات تجميلية ثابتة للأسنان تعيد الشكل والوظيفة.

علاج اللثة التجميلي

إعادة تناسق اللثة من خلال قص اللثة بالليزر وإزالة التصبغات (توريد اللثة).

تبييض الأسنان

تبييض احترافي بالليزر: استعادة بياض الأسنان ولمعانها بأمان وسرعة.

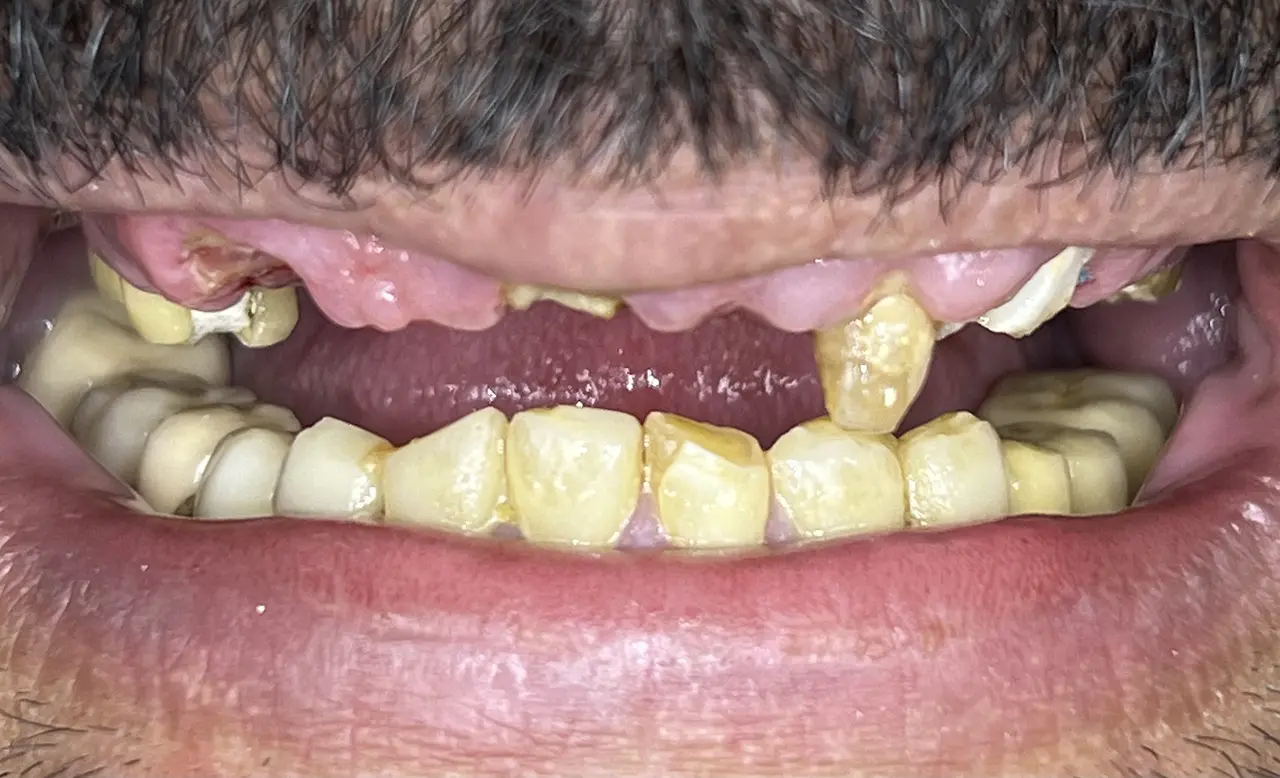
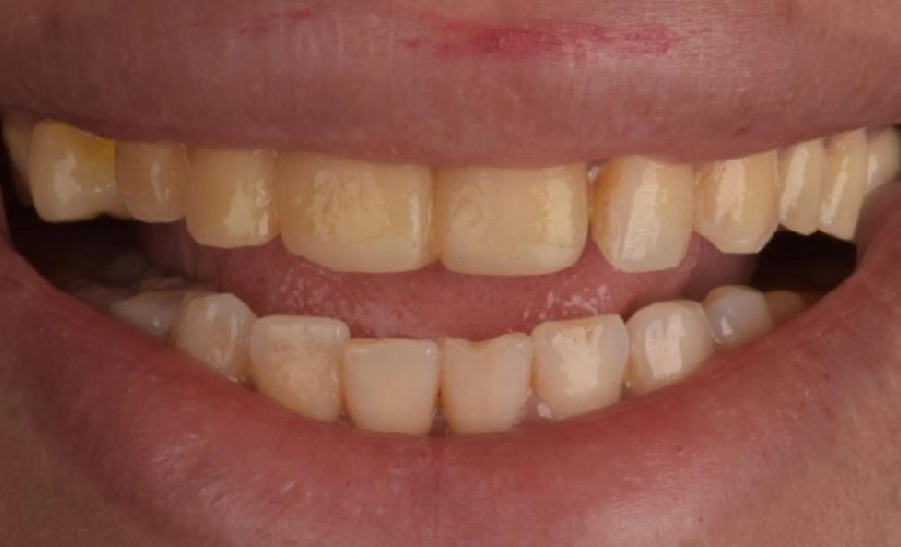
الصور تتكلم أوضح من أي كلام

من ابتسامة باهتة… إلى ابتسامة مليانة ثقة

آراء المراجعين

تجارب تجميل الأسنان بالرياض

ابتسامتك الجديدة تبدأ الآن

كل يوم تأجيل هو يوم جديد من فقدان الثقة.

 ابدأ بخطوة سهلة .. عالج أسنانك مع أفضل دكتور تجميل أسنان في الرياض

نتطلع إلى زيارتكم في العيادة

HomeForm